menu close
TEL.06-6774-7878 WEB予約

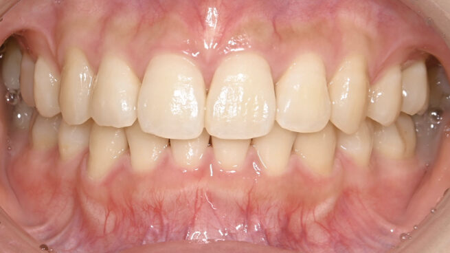
前歯のガタつきがある方のマウスピース矯正

  • 主訴:歯のガタガタが気になる
  • 治療法:マウスピース矯正(インビザライン)
  • 抜歯の有無:抜歯あり
  • 費用:100万円➕税
  • 期間:3年半
STEP
資料取り

口腔内の写真や顔貌の写真を撮影します。

顔貌の写真も撮影することで、顔のバランスを見た上で歯並びが綺麗に揃っているのか、また揃えれるようにどのように矯正計画を立てて行くのかの材料となります。

また、正面のレントゲンや横顔のレントゲンを撮影します。

STEP
分析

セファロ分析(横顔のレントゲンを撮影し、骨格、顎、歯、軟組織の位置関係を分析するもの)やボルトン分析(歯の抜歯有無の判断を行うもの)を行います。

また、撮影した写真も用いて、総合的に矯正計画を作成していきます。

STEP
クリンチェック(矯正シミュレーション)

インビザライン矯正で治療開始前に3Dデジタル技術を用いて、歯の動きや最終的な仕上がりをアニメーションで確認できる治療シミュレーションソフトを用いて、最終確認を行います

STEP
マウスピースのお渡し

マウスピース矯正とは、1マウスピースを1週間を目安に交換していきながら、歯を動かしていきます。

当院では、基本的に1ヶ月ごとの来院でお越しいただき、しっかりとフォローしながら矯正を進めていきます。歯の動きやすさは個人差があるため、患者様に合ったマウスピースの交換時期や必要に応じて、ゴム掛けというものを使用して歯の移動量を増やしながら経過を追っていきます。

STEP
噛み合わせの確認

クリンチェック時に最終的な歯並びや噛み合わせなどは設定しておりますが、実際にシミュレーション通りに歯が必ず動くわけではなく、個人差があります。

最終のマウスピースをお渡ししたタイミングで、噛み合わせや最終の修正点を確認して、追加でマウスピース矯正を行います。

審美的にも健康的(奥歯と前歯が全体的に噛み合う状態)にも最高なものに仕上がるようにします。

STEP
完成
問題点

・叢生(歯のがたつき)

・犬歯誘導なし

・第一大臼歯の1級関係がない

・噛んだ時に、すべての歯が均等に噛み合っていない

改善案

・セファロ分析による前歯の位置関係の分析

・ボルトン分析による抜歯の有無の分析

・マウスピース矯正(インビザライン)のクリンチェックによる矯正目標の設定

結果

八重歯も綺麗に歯列に揃い、素敵な歯並びになりました。

また、犬歯誘導が出来るようになり、食事をする時や夜間の歯軋り等で、歯を横に移動する力の負荷を受け流すことができました。そのため、奥歯の負担を減らすことができるため、噛み合わせによる奥歯の喪失を改善することができます。

見た目も美しく、歯も健康的になりました。

歯が喪失する3つの原因として、むし歯・歯周病・噛み合わせがあります。

むし歯と歯周病は、食事と摂り方やセルフケアを気をつけることで予防可能ですが、噛み合わせの根本的解決のためには矯正が必要となります。

この方は、叢生のためセルフケアも難易度が高い方でしたが、綺麗な歯並びになることでセルフケアも簡単になりました。

そのため、矯正は噛み合わせの改善だけではなくむし歯や歯周病の予防にも効果的です。

よかったらシェアしてね!
  • URLをコピーしました!
  • URLをコピーしました!
目次