


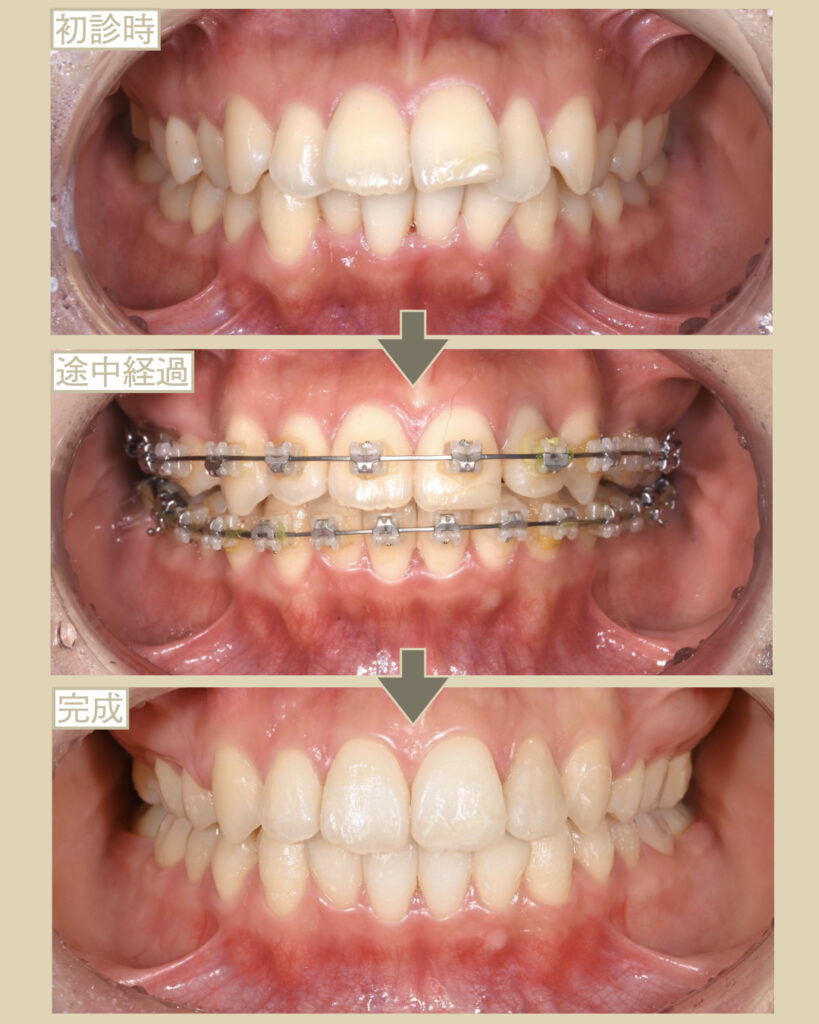
- 主訴:前歯が出ているのが気になる
- 抜歯:あり
- 装置:表側ワイヤー矯正
- 期間:2年半
- 費用:100万円(税別)+調整量月5,000円
- 問題点
-
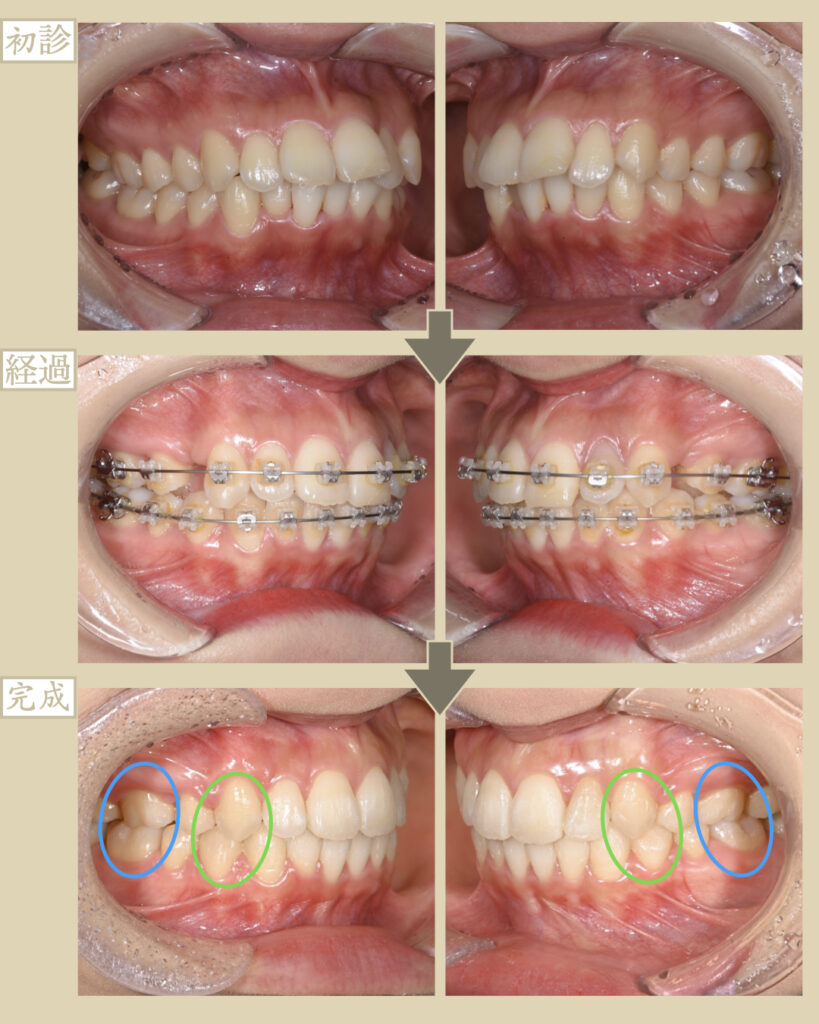
① 奥歯から動揺や破折しやすい
出っ歯のため前歯で噛めないので、奥歯のみで力の負担を支えている状態です。
そのため、将来的に奥歯からグラグラしてきたり破折しやすいことが問題として考えられます。
②横顔の凹凸が少ない
顔貌を横から見たときに、出っ歯であるためCカールリップという鼻下から上唇の間にある人中に丸みがなく、人中が長く見えてしまう事と顎に立体感がないため少しのべっとした印象になります。
③顎にしわ寄せがある
前歯が出ていることで、唇を閉じようとすると顎の筋肉に力が入り、梅干しあごになってしまいます。
④出っ歯のため、唇が完全に閉まりにくい状態です。
唇が完全に閉まらないと、口腔内が乾燥しやすく唾液による自浄作用や抗菌作用が低下して、
虫歯や歯周病のリスクが上がること。また、乾燥による口臭が考えられます。
- 改善案
-
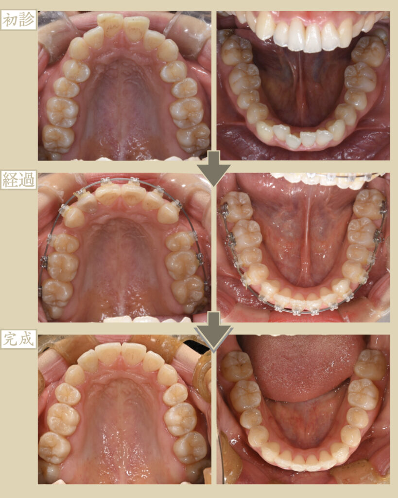
上顎左右4番目の歯を抜歯して、歯の移動スペースを確保する。
ワイヤー矯正は、前歯群と奥歯群の引っ張り合いで綺麗なアーチ状にしていきますが…
今回は、出っ歯の症例のため、奥歯群が前に引っ張られないようにゴム掛けを工夫してなるべく前歯だけを後退。
これにより、抜歯した4番目のスペースを活用して、奥歯群は前に移動させずに前歯群だけを後ろへと移動させて、大幅に出っ歯を改善させていきます。
- 結果
-
問題点のかみあわせも全体で噛めるようになり、歯の健康寿命が増進しました。
また、出っ歯の改善による虫歯や歯周病のリスクを軽減させ、
口元が引っ込んだ事Eラインができ、相乗的に鼻が高く見えて顎先も出ることで、凹凸のある美しい横顔になりました。
また、梅干しあごの改善と唇を自然に閉じることができました。



